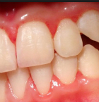
歯ぐきの腫れ・出血、歯がグラつく(歯周病)

歯ぐきの腫れや出血は、むし歯が進行して歯の根っこの付近に膿みが溜まり炎症を起こしている場合もありますが、多くの場合は歯肉炎(歯周病の初期段階)が原因です。歯周病は世界一蔓延している感染症です。痛みなどの自覚症状が無いために気付いていない人が多いのですが、日本の成人の約8割は歯周病に感染していると言われています。
その他の症状として、口の中のネバネバ感や知覚過敏、口臭などもよくみられます。さらに進行すると、歯ぐきが下がり歯がグラつき(歯周炎、歯槽膿漏)、最終的に抜けてしまう、またはやむを得ず抜歯となるケースもよくあります。実際歯を失う最大の原因は、30代まではむし歯ですが、それ以後は歯周病が急激に多くなります。
また最近の研究によると、歯周病は2型糖尿病の合併症の一つとみられており、その他にも動脈硬化や狭心症、骨粗鬆症、食道がん、脳梗塞などのリスクが上昇することもわかっています。むし歯菌と歯周病菌は全く異なるため、むし歯がゼロの人でも歯周病にはなります。
治療法
歯ぐきの腫れや出血には、抗生物質や消炎鎮痛剤の服用と、歯周ポケットなどに溜まってしまった歯石や歯垢などを専用の器機で取り除いていきます(PMTC、スケーリング)。重度の場合には、感染してしまった組織を除去したり、場合よっては周りの歯への感染を防ぐ為に歯を抜かなければならないこともあります。(予防歯科)