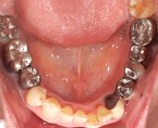
銀歯が気になる

保険適用で奥歯のむし歯治療を行なう場合は、金銀パラジウム合金(通称:金パラ)と呼ばれる銀色の詰め物・被せ物を行います。
治療法
保険は適用されませんが、白いセラミックで出来た詰め物・被せものを使用することで、天然の歯のように見える、自然で清潔感溢れる笑顔を取り戻すことができます。歯の適合もより良いため、二次むし歯や歯肉炎になりにくいといったメリットもあります。
また、セラミックの場合は金属を使わないため、金属アレルギーの心配がなく、歯ぐきが黒ずむことも少なくなります。(審美歯科)