歯がしみる・違和感がある

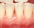
知覚過敏・歯周病
歯周病や加齢などで歯ぐきが下がると、歯の根っこの付近から神経に刺激が伝わりやすくなってしまいます。そこへ冷たいものなどを飲食することで、知覚過敏の症状を訴えやすくなります。
また、強いブラッシング圧や悪いかみ合わせ(アブフラクション)によっても知覚過敏は出やすいです。
治療法
歯科医院で、知覚過敏を抑える薬を塗布したり、歯の欠けた部分や歯ぐきとの境目付近の敏感になっている箇所を被せ物で覆たりします。
歯周病が進行しており症状がひどい時には、歯の神経を取り除く場合もあります。また、適度な圧力で正しく歯を磨く方法をお伝えし、日頃のブラッシングで実践してもらいます。

むし歯・歯髄炎
むし歯が進行しているために、表面のエナメル質より深い象牙質に温度刺激が伝わり、歯がしみる状態です。また、歯がズキズキと強く痛むほどむし歯が進行してしまった場合には、内部の神経まで炎症(歯髄炎)していることが考えられます。
治療法
むし歯を削って取り除いた上で、被せ物や詰め物を行ないます。神経にまで達している場合は、歯の神経を取り除く処置が必要となります。

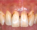
かみ合せの悪さ・アブフラクション
長期間に渡って歯のかみ合せが悪いまま、物を噛んだり、食いしばったり、睡眠中に歯ぎしりをしたりして強い力を与え続けると、歯の構造上比較的もろくなっている歯と歯ぐきの境目付近がV字型(くさび状)に欠けてしまうことがあります。そしてその結果、知覚過敏の症状が現れやすくなります。
治療法
欠けてしまった部分を被せ物で覆います。同時に、専用のマウスピースでかみ合せのズレを正したり、咀嚼する時に使う顔の筋肉(咬筋)のストレッチを行なって、顎関節にかかるストレスを軽減させます。当院ではこうしたアブフラクションや顎関節症などを専門とする口腔外科専門医が直接治療にあたります(口腔外科治療)。