歯が抜けた

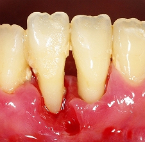
歯を失う最大の原因は歯周病です。30歳以上の日本人の約8割が歯周病だと言われています。歯周病は痛みを伴わずに静かに進行することが多いため、気付いた時には歯ぐきが既にかなり下がり、歯がぐらついて、いつしか抜けてしまうのです。
その他には、重度のむし歯や事故などにより歯を失う場合もあります。
治療法
失った歯の本数や場所、顎の骨や周りの歯の状態に応じて、入れ歯やブリッジ、インプラントで補うことができます。それぞれにメリットとデメリットがあるため、患者様に十分ご説明した上で、治療法を選択して頂きます。(入れ歯・ブリッジ)
特にインプラントは手術を必要とするため、本来非常に高度な技術と豊富な経験が要求される治療法です。当院では、総合病院の歯科口腔外科で数多くの臨床を経験してきた口腔外科専門医が必ず治療にあたります。(インプラント)