歯が欠けた、詰め物・被せ物がとれた

歯が欠ける原因は、
1. 不適合な詰め物・被せ物
2. 硬い物を咬む・物とぶつかる
3. むし歯の進行
といったものが考えられます。
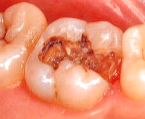
銀歯などが外れる前の段階から、隙間やその縁を利用してむし歯菌が浸食し、二次むし歯となってしまっていることも多くみられます。
治療法
歯が欠けた場合も詰め物や被せ物が取れてしまった場合も、むし歯などに侵されていないか検査をし、必要な処置を行なった上で、詰めたり被せたりしていきます。
特に前歯は見た目に大きく影響するため、オールセラミックによる治療をお勧めします。(審美歯科)